ایمپلنت دندان در تهران ، کلینیک دندانپزشکی رایا
ایمپلنت دندان در تهران در دندانپزشکی رایا با جدیدترین روش های روز، توسط متخصصین با تجربه در این حوزه انجام می گیرد. خدمات ایمپلنت کاملا تخصصی بوده و برای موفقیت در این روش درمانی بهره گیری از خدمات مراکز معتبر بسیار مهم است.
برای کاشت ایمپلنت دندان، روش ها و تجهیزات نوینی ارائه شده است که به درمان موفق تر این روش کمک فراوانی می نماید. این روش ها برای درمان آسان تر و بهبودی سریعتر برای بیمار نیز بسیار مناسب هستند، از این روش ها می توان به ایمپلنت دیجیتال و ایمپلنت بدون جراحی و درد اشاره نمود. تنها واحدهای معتبر دندانپزشکی در تهران نظیر کلینیک دندانپزشکی رایا، این خدمات نوین را ارائه می دهند.
ایمپلنت دندان چیست؟
ایمپلنت دندان عموما یک فلز از جنس تیتانیوم بوده که در داخل استخوان فک قرار گرفته و بر روی آن ساختارهای پروتزی مانند روکش قرار میگیرد. هنگامی که یک دندان به دلایل مختلف قابل نگهداری نبوده و کشیده میشود یا حتی وقتی که یک فرد به طور مادرزادی یک دندان را ندارد، میشود به جای دندان از دست رفته، ایمپلنت قرار داد. توجه داشته باشید که روش های دیگری نیز نظیر بریج دندان وجود دارد که می توانند فقدان دندان از دست رفته را جبران نمایند. اما هیچ یک قابلیت فراهم کردن دندان هایی همچون دندان طبیعی را همانند ایمپلنت ندارند.
برای کاشت ایمپلنت، فرایند مرسوم دو یا چند مرحله ای است، بدین صورت که ابتدا باید با جراحی به استخوان فک بیمار دسترسی پیدا نمود. سپس با جایگذاری پایه ایمپلنت که به فیکسچر موسوم است، شرایط برای جوش خوردن پایه با استخوان فک فراهم می گردد، با گذر زمان این اتصال برقرار می گردد. زمان لازم برای جوش خوردن ایمپلنت گاهی چندین ماه است. در مرحله بعدی روکش ساخته شده برای ایمپلنت نصب می گردد.
پاسخگویی شبانه روزی – 02188203045
کاشت ایمپلنت بعد از کشیدن دندان
در خصوص توالی کشیدن و ایمپلنت کردن باید بدانیم که در ناحیه زیبایی و آنجایی که دید ناحیه دندان کشیده شده برای ما مهم است، عموما دندان، کشیده میشود و بلافاصله پایه ایمپلنت قرار داده میشود. گاها بر روی این پایهی قرارداده شده، روکش فوری هم قرار داده میشود. بر روی دندانهای عقب عموما روال به این شکل است که دندان کشیده میشود و بعد از سپری شدن زمانی نزدیک به دو تا سه ماه، جراحی ایمپلنت انجام میشود. گاها ایمپلنت کردن بلافاصله بعد از کشیدن دندانهای عقب هم امکان پذیر است، اینکه پس از کشیدن دندان میتوان ایمپلنت را بلافاصله قرار داد یا نه، پس از اخذ عکسبرداری های خاص و توسط پزشک متخصص تصمیمگیری میشود.
نکته مهم در مورد کاشت ایمپلنت پس از کشیدن دندان آن است که نباید زمان کشیدن و کاشت طولانی گردد، با گذر زمان چند ساله و فقدان دندان، استخوان فک بیمار تحلیل رفته و برای کاشت دندان به مشکل می خوریم. بنابراین پس از فقدان دندان ها در زمان مناسب به متخصص ایمپلنت مراجعه نمایید تا کاشت دندان با درصد موفقیت بالا انجام گیرد.
در صورتی که از زمان کشیدن دندان تا زمان جایگزینی با ایمپلنت زمان زیادی بگذرد، این تحلیل لثه و استخوان باعث میشود که امکان کاشت ایمپلنت خوب و با قطر مناسبی در آن ناحیه فراهم نشود، پزشک تصمیم میگیرد که این ارتفاع و عرض استخوان را زیاد کند، که این کار یا همزمان با ایمپلنت کردن انجام میشود و یا در یک مرحله مجزا قبل از ایمپلنت گذاری انجام میشود.
در صورتی که یک تحلیل کم تا متوسط پس از کشیدن دندان وجود داشته باشد، عموما جایگذاری ایمپلنت همزمان با پیوند استخوان (از جنس پودر استخوان) امکان پذیر است. اما هنگامی که زمان زیادی گذشته باشد به طور معمول ابتدا یک پیوند استخوان انجام میشود و بعد از یک مدت زمان چهار تا شش ماهه ایمپلنت گذاری انجام میشود.
انواع ایمپلنت دندان
در بازار امروزه انواع مارکهای ایمپلنت به چشم میخورد، تفاوت عمده این ایمپلنتها مربوط به درصد مختصری در آلیاژ و خصوصیات سطحی آنهاست و آنقدر تفاوت چشمگیری ندارند، اما همین موارد می تواند در کیفیت کاشت و درصد موفقیت درمانی بسیار تاثیر گذار باشد. آن چیزی که یک ایمپلنت خوب را از یک ایمپلنت نامناسب جدا میکند، بیشتر، تکنیک جراح و تکنیک کار برای ساخت پروتز برای ایمپلنت کاشته شده هست تا جنس ماده. دقت داشته باشید که مراکز دندانپزشکی اقدام به استفاده از برندهای مختلف ایمپلنت نموده که بر میزان هزینه کاشت تاثیر دارد، ولی همین کیفیت می تواند بر ماندگاری و طول عمر استفاده ایمپلنت بسیار تاثیر داشته باشد.
اگر قصد ایمپلنت دارید، از مرکز دندانپزشکی بخواهید از برندهای مطرح و با کیفیت برای شما استفاده نماید، شرکتهای معتبر و کشورهای صنعتی ایمپلنتهایی که دارای نام و آوازه بیشتری هستند را تولید میکنند. به طور معمول ایمپلنتهای کرهای، ایمپلنتهای اقتصادی در سراسر دنیا هستند اما کشورهای صنعتی مثل آلمان، آمریکا و سوئیس هم در این زمینه سرآمد بوده و ایمپلنتهای بسیار خوبی تولید میکنند. متاسفانه برخی از مراکز دندانپزشکی از ایمپلنت های بی کیفیت نظیر ایمپلنت چینی نیز استفاده می کنند، بنابراین توجه بیمار به برند ایمپلنت مورد استفاده برای او بسیار اهمیت دارد.
بهترین تکنولوژی ساخت ایمپلنت در دنیا در حال حاضر متعلق به سوئیس است و بهترین ایمپلنتهای دنیا را این کشور میسازد، از برندهای خیلی معروف کشور سوئیس میشود از اشترومن، SPI و SIC نام برد.
همان طور که در قسمت قبلی اشاره کردیم، مرغوب بودن یک ایمپلنت خیلی به این بستگی دارد که تکنیک کار به چه شکل است و بهترین حالت این است که جراحی ایمپلنت یعنی قراردهی پایه را متخصص جراحی فک و صورت یا متخصص جراحی لثه انجام دهد و قسمت روکش یا پروتزی را متخصص پروتز انجام دهد.
در کلینیک رایا قسمت جراحی توسط متخصصان جراحی فک و صورت و همچنین جراح لثه و قسمت پروتز توسط متخصص پروتز و فوق تخصص پروتز ایمپلنت انجام میشود و این باعث میشود که کیفیت تضمین شده باشد.
اجزاء ایمپلنت دندان
ایمپلنت دارای سه قسمت مهم بوده که با اتصال های مناسب به یکدیگر وصل می گردند، سه قسمت اصلی ایمپلنت به شرح زیر است:
- فیکسچر
- اباتمنت
- پروتز و روکش ایمپلنت
از مهم ترین قسمت های ایمپلنت می توان به فیکسچر اشاره نمود، این قسمت طی یک عمل جراحی کوتاه درون استخوان فک بیمار وارد می گردد. فیکسچر در ایمپلنت نقش ریشه دندان طبیعی را دارد. اباتمنت نیز واسط بین روکش و فیکسچر است، اباتمنت ها تاج ها و فیکسچر را محکم می کنند ، در مقایسه با اباتمنت هایی که برای حمایت از دندان مصنوعی استفاده می شوند، بسیار متفاوت هستند. برای مجموعه فیکسچر و اباتمنت، روکش های دندانی طراحی و ساخته شده و بر روی مجموعه نصب می گردد. روکش ها نیز از جنس های مختلفی در دسترس هستند، به عنوان مثال روکش های زیرکونیا، سرامیکی و … برای ایمپلنت قابل استفاده هستند.
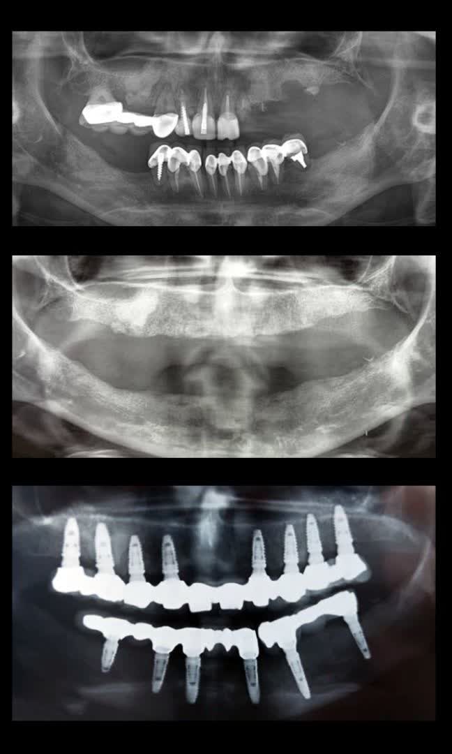
نمونه کارهای قبل و بعد از کاشت ایمپلنت دندان
روش های کاشت ایمپلنت دندان
با پیشرفت های حاصل شده در زمینه کاشت دندان، امکان کاشت بدون درد با درصد موفقیت بالا فراهم گردیده است. انتخاب روش مناسب برای کاشت دندان، بسته به نظر متخصص دارد. متخصص ایمپلنت با بررسی شرایط بیمار، بهترین روش درمانی را برای او انتخاب می نماید. از جمله روش های کاشت دندان که متخصص می تواند بکار برد، می توان به موارد زیر اشاره نمود:
- ایمپلنت یک مرحله ای و فوری
- ایمپلنت دو مرحله ای
- ایمپلنت دیجیتال
- ایمپلنت بدون درد و جراحی
در روش ایمپلنت فوری، بلافاصله پس از کاشت مرحله اول، آماده سازی و نصب روکش انجام می گیرد. اما در روش ایمپلنت دو مرحله ای پس از چندین ماه، عملیات نصب روکش صورت می گیرد. در ایمپلنت دیجیتال نیز با بهره گیری از فناوری های دیجیتال، کاشت دقیق تر دندان صورت می گرد. در ایمپلنت پانچی نیز که به ایمپلنت بدون درد و جراحی موسوم است، با پانچ و سوراخ کردن لثه، درمان انجام می گیرد، طبیعتا در این روش درد و خونریزی کمتر بوده و سرعت بهبودی و ترمیم بافت ها نیز بیشتر است.
ایمپلنت دیجیتال چیست؟
در کاشت ایمپلنت به روش دیجیتال از فناوری های دیجیتال نظیر تصویر برداری های دیجیتال استفاده می شود تا محل دقیق کاشت دندان تعیین گردد، بدین ترتیب محل کاشت دندان در کمترین برش و بخیه آماده می گردد و کاشت دندان به روش دیجیتال انجام می شود. بنابراین در روش کاشت دیجیتال کاشت ایمپلنت در کمترین درد و خونریزی انجام می گردد، همچنین سرعت بهبودی بعد از کاشت نیز بیشتر است. بالا رفتن دقت از مزایای این روش درمانی است که روشی پیشرفته برای کاشت دندان به حساب می آید. تنها مراکز معتبر از فناوری های دیجیتال بخصوص کاشت ایمپلنت دیجیتال برای بیماران استفاده می کنند.
ایمپلنت دندان در بیماران با پوکی استخوان، قلبی عروقی و …
گاها پیش میآید که وقتی برای درمان ایمپلنت فردی مراجعه میکند، چیزهایی مثل پیوند استخوان، پودر استخوان، سینوس لیفت و موارد دیگری توصیه میشود که دلیل آنرا در اینجا توضیح میدهیم. برای کاشت دندان، وجود حجم کافی استخوان در فک و داشتن شرایط مناسب، اهمیت دارد. به عنوان مثال در مورد برخی از افراد بیماری پوکی استخوان وجود دارد و این امر باعث می گردد که استخوان فک بیمار تحلیل گردد، در چنین بیماری باید پیوند استخوان صورت گیرد. هنگامی که یک دندان کشیده میشود به مرور استخوان و لثه آن ناحیه تحلیل میرود و نشست میکند، یعنی هم ارتفاع و هم عرض ناحیه کم میشود.
در بیماران با پوکی استخوان درمان پیوند استخوان وجود دارد که این امر کمبود استخوان را جبران می کند. یا در مورد افرادی با بیماری های قبلی عروقی یا دیابت و … برای درمان باید تمامی شرایط جانبی در نظر گرفته شود و بنا به نیاز آن ها روش درمانی در نظر گرفته شود. توانایی مراکز دندانپزشکی در ارائه خدمات به بیماران خاص از مزیت های یک کلینیک دندانپزشکی معتبر در تهران است.
کاشت ایمپلنت در بیماران با مشکلات سینوسی
در فک بالا یک فضا یا حفره خالی به نام سینوس وجود دارد که بعد از کشیدن دندان، این سینوس به سمت پایین (لثه ها) بزرگ میشود و طی یک جراحی به نام سینوس لیفت، این فضای خالی دوباره به سمت بالا رانده شده و آن ارتفاع لازم برای ایمپلنت فراهم میشود که این کار هم باز بسته به مقدار استخوان موجود، میتواند همزمان با ایمپلنت گذاری یا با تاخیر انجام شود، تعیین کننده این موضوع، مقدار استخوان موجود است که اگر خیلی کم باشد ترجیح بر این است که ابتدا سینوس لیفت انجام شود و بعد از حدود شش ماه ایمپلنت گذاری انجام گردد و اگر مثلا یک تحلیل متوسط رخ داده، همزمان با سینوس لیفت، گذاشتن ایمپلنت انجام شود.
ثابت کردن پروتز های دندانی با کاشت ایمپلنت
یکی از مورادی که افرادی که از پروتزهای دندانی استفاده می کنند، ناراحتی در هنگام صحبت کردن و غذا خوردن است، زیرا پروتزها متحرک بوده و نمی توان در شرایط ایده آل از آن ها استفاده کرد. برای این دسته از افراد می توان با بکارگیری ایمپلنت، پروتز را ثابت کرد و این مشکلات را از بین برد.
ثابت کردن پروتز با ایمپلنت را که ایمپلنت ALL ON 4 نیز موسوم است، می توان با استفاده از 4 ایمپلنت کل پروتزهای قدیمی را ثابت کرد و استفاده از پروتزهای دندانی را برای افراد آسان نمود. متخصص برای ثابت کردن پروتز معمولا بررسی های کلینیکی را انجام می دهد تا شرایط ایمپلنت را فرد داشته باشد. معمولا در افراد سالمند از این روش استفاده می گردد و برای کاشت ایمپلنت باید حجم استخوان موجود در فک بیمار سنجیده شود.
عوارض ایمپلنت چیست؟
با وجود مزایای فراوانی که ایمپلنت برای افراد دارد، برای هماهنگ شدن و عادت کردن افراد به آن ها نیازمند گذر زمان است. معمولا کاشت دندان در چند ماه انجام می گیرد و این روش درمانی روشی زمانبر است. پس از کاشت ایمپلنت به وجود آمدن دردهای موضعی یا خونریزی از محل کاشت امری غیر طبیعی نیست، این موارد براحتی با گذر زمان و رعایت دستورات دندانپزشک برطرف می گردد. لازم به ذکر است کاشت دندان نزد متخصص ایمپلنت با تجربه امکان این مشکلات را به حداقل ممکن می رساند.
از جمله مواردی که پس از کاشت دندان ممکن است رخ دهد می توان به درد در ناحیه کاشت و تورم و خونریزی اشاره نمود که می توان با استفاده از کمپرس یخ یا مصرف مسکن ها آن ها را برطرف نمود. این موارد معمولا در طی چند روز رخ می دهد، اگر بیش از این مدت خونریزی و درد ادامه دار شد باید به متخصص ایمپلنت مراجعه نمایید. روش کاشت نیز تاثیرگذار است، در روش های نوین کمترین آسیب به بافت ها رسیده و میزان خونریزی و درد بسیار کم است.
آیا ایمپلنت درد دارد؟
خیر، ایمپلنت به خودی خود فاقد درد است، به خصوص اگر یک یا دو واحد و در یک استخوان باکیفیت و مقدار مناسب انجام شود. اما در موارد پیشرفته که نیازمند زمان زیاد کار است ممکن است در آخر کار که بیحسی کم میشود، فرد مقداری ناراحتی احساس کند که آن هم با بیحسی مناسب مجدد قابل انجام است.
عموما ترس از جراحی ایمپلنت به علت شکل و شمایل کار است، چرا که یک جسم شبیه به پیچ در داخل استخوان فک پیچ میشود، اما این هیچ ربطی به درد حین و بعد از کار ندارد و ایمپلنت عموما کاری بدون درد است. از نظر شرایط بعد از کار هم عموما درد و تورم کمی در ناحیه ایجاد میشود که با مصرف مسکن قابل پیشگیری است.
همچنین انجام درمان ایمپلنت در آرامبخشی و حتی بیهوشی قابل انجام است. آرامبخشی فرایند بسیار راحتی بوده که بوسیله آن بیمار در حالت خواب قرار گرفته و هیچ چیزی از درمان را به خاطر نمیآورد، و به تبع آن بیمار احساس راحتی و بیدردی خواهد داشت.
در کلینیک رایا امکان انجام درمان کاملا بدون درد تحت بیحسی و آرامبخشی و توسط متخصصین مجرب وجود دارد.
آیا به تعداد دندان کشیده شده، ایمپلنت لازم است؟
خیر، بسته به شرایط، تعداد پایه ها متغیر است. اگر یک دندان از دست رفته است، یک پایه و یک روکش. اگر دو دندان از دست رفته، به طرز مشابه دو پایه و دو روکش قرار میگیرد که معمولا این روکشها به هم متصل میشوند که از گردش آنها جلوگیری شود. اما در موارد بالاتر از دو دندان، مثلا زمانی که سه دندان از دست رفته باشد، در آن صورت میشود با قراردهی دو پایه و سه روکش و تشکیل یک بریج یا پل، ناحیه را بازسازی کرد، که باز هم این مورد به مقدار استخوان موجود و موقعیت دندان بستگی دارد. در مواقعی که کل دندانهای فک از بین رفتهاند، به طور معمول برای بازسازی فک بالا، هشت عدد، و برای فک پایین هم مقدار شش تا هشت عدد ایمپلنت لازم است.
در صورتی که فک بالا با هشت عدد پایه قابل بازسازی باشد، در آن صورت دوازده عدد روکش بر روی این هشت پایه قرار میگیرد و چهار روکش اضافهتر روی اینها وصل خواهد شد. برای فک پایین شرایط یک مقدار متفاوت است. در صورت وجود استخوان کافی، همین مقدار معمول هشت پایه و دوازده روکش، و در صورت نبود استخوان، معمولا پنج تا شش عدد پایه قرار داده میشود و تعدادی روکش متناسب با فک بالا بر روی آن سوار میشود
بررسی بهترین حالتهای ممکن
شاید برای شما سوال باشد و یا بخواهید که بهترین ایمپلنت ممکن را دریافت کنید. در این صورت بهترین حالتهای ممکن از این قرار است:
1. از زمان کشیدن شما زمان زیادی نگذشته باشد. زمان حدودا سه تا شش ماه مدت زمان مناسبی است و بعد از آن تحلیل رخ میدهد.
2. از ایمپلنتهای دارای مارک معتبرتر استفاده کنید. مثلا ایمپلنتهای سوئیسی مارک اشترومن برند بسیار معتبری محسوب میشود، و یا از ایمپلنتهای کرهای برند آستم، ایمپلنتیوم و مگاژن و CIS و یا از ایمپلنتهای آلمانی مارک ICX. بعد از اینکه مارک مناسب هم انتخاب شد مهم است که ایمپلنت توسط متخصص خودش انجام بشود یعنی جراحی را جراح انجام دهد و نه دندانپزشک عمومی، و قسمت پروتز یا روکش را هم متخصص پروتز انجام دهد.
3. در نهایت روکش ایمپلنت میتواند فلزی سرامیکی و یا تمام سرامیکی باشد. به طور معمول روکش فلزی سرامیکی انتخاب میشود چرا که ساختارهای زیرین همگی از جنس فلز هستند و توجیهی برای استفاده از تمام سرامیک نیست، اما در صورت خواست بیمار تمام سرامیک هم قابل استفاده است.
در کلینیک رایا متخصصان جراحی فک و صورت، متخصص لثه، فوق تخصص جراحی ایمپلنت و فوق تخصص پروتز ایمپلنت حضور دارند، و شما هر زمان بخواهید برای مشاوره و دریافت بهترین درمان میتوانید مراجعه کنید. همچنین مجموعهای از مارکهای خوب و اقتصادی بازار در کلینیک رایا موجود است که میتوانید با کسب اطلاع از جزئیات و قیمتهای مختلف آنها، انتخاب مناسبی را داشته باشید.
هزینه ایمپلنت دندان چقدر است؟
کاشت دندان به روش ایمپلنت دارای مزایای فراوانی است که آن را به بهترین روش برای جبران دندان های از دست رفته تبدیل نموده است. در تعیین هزینه کاشت دندان عوامل مختلفی تاثیرگذار می باشد، از جمله این عوامل می توان به موارد زیر اشاره نمود:
- نوع برند ایمپلنت مورد استفاده برای بیمار
- روش کاشت دندان
- درمان های تکمیلی مورد نیاز نظیر جراحی های سینوس لیفت، پیوند استخوان و …
- تعرفه مراکز خدمات دندانپزشکی
- …
با انتخاب مرکزی معتبر در زمینه کاشت دندان، می توانید با کیفیت ترین ایمپلنت را با هزینه مناسب برای خود فراهم آورید. رایا دنتال یکی از بهترین مراکز برای کاشت دندان با هزینه مناسب می باشد.
تعرفه ایمپلنت در رایا دنتال

تعرفه هر واحد ایمپلنت در رایا دنتال طبق جدول فوق میباشد و باتوجه به انتخاب شما و درمانهای جانبی مورد نیاز متغیر میباشد. هر واحد ایمپلنت بدون هزینه درمانهای جانبی از 18.5 میلیون تومان تا 38 میلیون تومان.
جهت مشاوره و معاینه حضوری در خدمت هستیم. لطفا قبل از مراجعه با پذیرش هماهنگ بفرمایید.















سلام. ایا در هر سنی می توان ایمپلنت کرد و ایمپلنت محدودیت سنی داره؟
سلام ایمپلنت محدودیت سنی ندارد و همه ی افراد می توان کاشت دندان را انجام دهند ولی بهتر است رشد فک بیمار به اندازه کافی رسیده باشد تا درمان موفق تری را داشته باشند.
سلام. میشه لطفا راهنمایی کنید هزینه هر واحد ایمپلنت چقدره؟ و اینکه ایا برای دندان های مختلف این قیمت تفاوت دارد؟
سلام. برای کاشت دندان فاکتورهای مختلفی دخیل هستند که قیمت نهایی را تعیین می کنند. از جمله این موارد به نوع و برند ایمپلنت دندان، هزینه های درمان های تکمیلی، فناوری های بکار رفته، تعداد دندان، تعرفه های دندانپزشکی و … اشاره کرد.
از مهم ترین فاکتورها در تعیین قیمت، برند ایمپلنت است، انواع مختلفی از برندهای ایمپلنت های دندانی در بازار اعم از کره ای، سوئیسی، آمریکایی، آلمانی و … وجود دارند که دارای کیفیت و قیمت متفاوتی هستند. همچنین روش کاشت و درمان های تکمیلی که برای بیمار در نظر گرفته می شود نیز تاثیر دارد به عنوان مثال برخی از بیماران نیاز به درمان پیوند استخوان دارند یا در مورد روش های کاشت می توان از روش های دیجیتال و نوین بهره گرفت. بنابراین برای تعیین قیمت کاشت با واحد دندانپزشکی تماس بگیرید.
تعرفه ها به صورت حدودی داخل سایت معمولاً آپدیت و به روز رسانی می شود
جهت اعلام هزینه دقیق بهتر هست ویزیت و معاینه انجام شود یا از طریق واتس آپ های کلینیک مشاوره آنلاین دریافت کنید
سلام من دندان هایم را چند سال پیش کشیدم میشه کل دندان هایم را ایمپلنت کرد ؟ اگه میشه راهنمایی کنید که اگه بخوام هشت تا از دندان هامو ایمپلنت کنم مابقی رو چیکار باید بکنم ؟
سلام. امکان ایمپلنت کردن کل دندان ها وجود دارد، اما در مواردی از ایمپلنت و پروتز همزمان نیز استفاده می شود که با استفاده از چند ایمپلنت کل پروتزهای دندانی را ثابت می کنند. روش هایی نظیر اوردنچر و … برای این دسته از بیماران قابل استفاده است. شما بایستی به دندانپزشکی مراجعه نمایید تا دهان و دندان شما معاینه شود و درمان متناسب برای شما تجویز گردد.
سلام من دندان 3 از پایینم رو سال پیش کشیدم. به دندانپزشک مراجعه کردم به من گفت که باید ایمپلنت کنم. اولا سوالم اینه چه مدت طول میکشه تا درمان ایمپلنت انجام بشه؟ ثانیا من ترس و نگرانی دارم آیا درمان خیلی سخته باید چیکار کنم؟
سلام. در مورد این روش درمانی باید توجه داشته باشید کاشت دندان به صورت چند ماهه است و مدت زمان کافی برای جوش خوردن نیاز است. در ضمن درمان با بی حسی های موضعی و در برخی از موارد با استفاده از بیهوشی و حتی روش های دیگر نظیر آرامبخشی و … انجام می شود. بنابراین بدون نگرانی و ترس اقدام به درمان نمایید.
برای ایمپلت کردن کسی ک تمامی دندان هارا کشیده چند واحد ایمپلنت نیاز هست؟
سلام وقت بخیر من بخاطر تصادف تموم دندونهامو چندسال پیش از دست دادم و چندسالی دندان مصنوعی استفاده مکنم امکان داره من الان که شرایطم هم بخاطر تصادف خوب نبود هم مالی الان دوباره اینپلنت کامل هردو فک انجام بدم؟ممنون
درود بر شما
تعداد ایمپلنت برای کل دهان وابسته به شرایط دهان و بودجه فرد توسط متخصص با معاینه و بررسی تعیین می شود
جهت دریافت مشاوره لطفا با شماره 02188203045 رایا کلینیک تماس بگیرید
سلام خسته نباشید آیا قسطی هم انجام میدین
درود بر شما
جهت دریافت مشاوره لطفا با شماره 02188203045 رایا کلینیک تماس بگیرید
سلام. وقتتون بخیر . میشه بفرمائید کار ایمپلنتتون گارانتی داره؟
پایه و فیکسچر در ایمپلنت بخش اساسی و اصلی هست.
اگر پایه بعد از چند ماه بصورت کامل با بافت استخوانی جوش بخورد معمولاً و در اکثر مواقع در گذر زمان و بلند مدت هیچ مشکلی نخواهد داشت
و در تمام این مدت وارانتی و گارانتی کامل خواهد بود.
بعد از اینکه روکش ایمپلنت و بخش پروتزی هم انجام شد، تا یکی دو سال اول هر مشکلی داشته باشید رفع می شود.
اما در بلند مدت و بخصوص در بخش پروتز و روکش اگر مشکلی ایجاد شود صرفاً خدمات درمانی خدمت شما ارائه می شود.
سلام و خسته نباشید خدمت شما!
من در خارج از ایران زندگی میکنم. ماه قبل مجبور شدم دندان ۲۷ فک بالا را بکشم. از آنجا که هزینه ایمپلنت دندان در اینجا بسیار بالاست میخواستم از شما بپرسم که آیا امکان ایمپلنت فوری وجود دارد که بعد از ۳ تا چهار ماه بعد از کشیدن دندان من به ایران بیایم و اینکار را سریع انجام دهم البته اگر مشکل استخوان و سینوس نداشته باشم؟
درود بر شما
با توجه به مراجعه عزیزان خارج از کشور و مشکلات مشابه به شما طول درمان به صورت فوری انجام می شود.
لطفا جهت راهنمایی بیشتر به شماره واتس اپ پیام ارسال کنید تا همکاران راهنمایی کنند
سلام من دندان جلو فک بالا افتاده و خیلی در روحیه من تاثیر گذاشته است چون وقتی صحبت میکنم یا میخندم شدیدا جلب توجه میکند ، دو تا دندان شماره یک بالا هزینه چقدر برمیدارد ؟ ضمنا لثه ها و فکها خیلی زیاد تحلیل رفته است چون چند سال هست که دندانهام افتاده است
درود بر شما
تعرفه هر واحد ایمپلنت در رایا دنتال با توجه به انتخاب شما و درمان های جانبی مورد نیاز متغیر میباشد. هر واحد ایمپلنت بدون هزینه درمانهای جانبی از 18.5 میلیون تومان تا 38 میلیون تومان می باشد. جهت مشاوره و معاینه حضوری در خدمت هستیم. لطفا قبل از مراجعه با پذیرش هماهنگ بفرمایید.
سلام من 16تا از دندونام وکشیدم بقیه دندونام هم فقط ریشه هستن و بایدکشیده شود من با 200میلیون تومن بودجه میتونم دندونام ودر بیهوشی یک روزه ایمپلنت کنم و درست کنم هر جور شما صلاح بدونید فقط درست بشن راهنمایی کنید
درود بر شما
پاسخ سؤال شما پس از انجام ویزیت توسط دندانپزشک متخصص و بررسی دقیق امکان پذیر است
جهت دریافت نوبت مشاوره لطفا با شماره 02188203045 رایا کلینیک تماس بگیرید.
سلام
من بیماری خودایمنی دارم. آیا امکان ایمپلنت دارم؟
درود بر شما
بیماریهای خودایمنی تاثیر چشمگیری بر فرآیند بهبود زخم دارند. در این شرایط، سیستم ایمنی بدن بهطور نادرست به بافتهای خودی حمله کرده و به جای ترمیم و بهبود زخمها، منجر به التهابهای مزمن میشود. این التهابها میتوانند به چندین طریق بر روند بهبود ایمپلنتهای دندانی تأثیر بگذارند: 1) کاهش سرعت بهبود 2) افزایش خطر عفونت 3) اختلال در تشکیل بافت.
همچنین این بیماری میتواند بهطور قابلتوجهی بر فرایند بهبود و ماندگاری ایمپلنت تأثیر بگذارد. به همین دلیل، مشاوره و همکاری نزدیک با پزشک و دندانپزشک قبل از انجام جراحی ایمپلنت اهمیت زیادی دارد. جهت راهنمایی از همکاران لطفا با شماره 02188203045 رایا کلینیک تماس بگیرید.
باسلام مدت زمان ایمپلنت فوری با پروتز برای یک دندان بالا چقدره و بفرمائیدبرای مدت زمان یکماهه که وقت داریم با روکش انجام میشه وهزینه آن وگرفتن وقت راهمنائی کنید ممنون میشم
درود بر شما
لیست قیمت هر یک از خدمات در سایت به روز شده است، طول درمان ایمپلنت بعد از مشاوره توسط پزشک خدمت شما اعلام می شود.
جهت دریافت نوبت با شماره 02188203045 رایا کلینیک تماس بگیرید.
درودبرشما
بنده یکسالی هست فک بالاراکاملاتخلیه کردم یعنی همه دندانهای فک بالاراکشیدم ویک دندان مصنوعی برافک بالا گذاشتم میخواستم بدونم آیاامکان اینکه فک مصنوعی را میشه ایمپلنت کردتاثابت بشه یاحتی اگه دندون مصنوعی خودمم هم نشدابتدایک دندون مصنوعی برافک بالا بذارین وثابتش کنید؟مرسب
با عرض سلام خدمت شما
اگر استخوان مناسب داشته باشید مشکلی بابت انجام درمان ایمپلنت ثابت نداریم حتی اگر استخوان بخصوص در نواحی عقب و انتهای فک تحلیل رفته باشد و امکان کاشت ایمپلنت در نواحی دندانهای آسیاب نباشد، در نواحی جلویی 3 تا 4 ایمپلنت کاشته می شود تا بصورت درمان اوردنچر (دندان مصنوعی بر پایه ایمپلنت) درمان جایگزینی انجام شود که از لحاظ کیفیت و شرایط بعد از درمان از دندان مصنوعی بهتر هست اما به ایمپلنت ثابت نزدیک نیست و متفاوت هست.
به این صورت که نیاز هست شبها دندان مصنوعی را از روی پایه ها جدا کرده و داخل آب قرار بدهید و صرفاً در طول روز بصورت دکمه ای و ثابت روی ایمپلنت ها قرار میدهید و در این حالت تکان نمیخورد، تحلیل کمتری خواهد داشت و طول عمر بیشتر و غذا خوردن و صحبت کردن با این روش آسان تر از دندان مصنوعی و متحرک معمولی هست.
لطفاً اگر عکس رادیوگرافی جدید تهیه شده است داخل واتس آپ ارسال کنید.
البته ویزیت حضوری و تهیه عکس رادیوگرافی در مجموعه گزینه بهتر و مناسب تری هست.
برای ایمپلنت ثابت شرایط استخوان بسیار مهم هست بخصوص که دندان مصنوعی استفاده کردید.
در نهایت امکان درمان اوردنچر یا ترکیب دندان مصنوعی و ایمپلنت هم هست.
درودبرشما
بنده یکسالی هست فک بالاراکاملاتخلیه کردم یعنی همه دندانهای فک بالاراکشیدم ویک دندان مصنوعی برافک بالا گذاشتم میخواستم بدونم آیاامکان اینکه فک مصنوعی را میشه ایمپلنت کردتاثابت بشه یاحتی اگه دندون مصنوعی خودمم هم نشدابتدایک دندون مصنوعی برافک بالا بذارین وثابتش کنید؟مرسی
سلام اطلاعات خوبی بود ممنون بنده حدودا نه تا پایه لازم دارم گویا سمت بال دهان اوفونی شده نمیشود بعد از کشیدن پایه گذاشت البته یک نظر بود از شما یک خواهش دارم از از برنده کره ای استفاده شود با هزینه های روکشی سرامیک وفلزی یا هرکدام که پیشنهاد بدهید هزینه نهایی چقدر میشود و آیا دیجیتال هم استفاده میشود و اقساط هم دارید یا خیر ممنون
لطفاً اگر عکس رادیوگرافی جدید تهیه شده است داخل واتس آپ ارسال کنید.
البته ویزیت حضوری و تهیه عکس رادیوگرافی در مجموعه گزینه بهتر و مناسب تری هست.
اعلام هزینه متعاقباً انجام می شود.