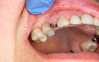
کاشت ایمپلنت دندان در یک روزکاشت ایمپلنت دندان در یک روز ایمپلنت فوری دندان یک نوع کاشت ایمپلنت است که بلافاصله پس ازتوانایی1400/11/30 9:01:36۳۰ بهمن ۱۴۰۰|برچسب: کاشت ایمپلنت فوری, کاشت دندان یک روزه| اطلاعات بیشتر